記者徐庭揚/花蓮報導
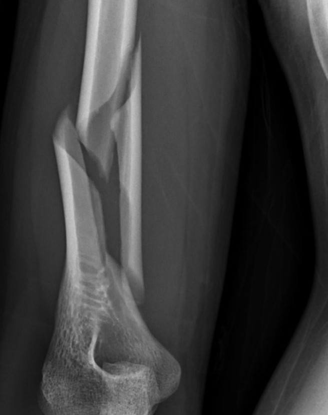
一名29歲男子與友人比腕力時,因瞬間扭轉力過大,導致右上臂肱骨當場發生「螺旋性骨折」。花蓮慈濟醫院骨科醫師張家銘指出,這類骨折與跌倒撞擊不同,主要是因為比腕力時手臂形成槓桿,力量集中在肱骨遠端,當旋轉扭力超過骨頭負荷,骨頭就會像被擰斷一樣破碎。醫師特別提醒,肱骨附近有重要的橈神經通過,一旦骨折波及神經,可能導致手腕與手指無法伸直的「垂腕」症狀,嚴重影響日常生活。
針對此個案,醫療團隊採取手術復位,在保護神經的前提下利用鋼板固定,協助骨頭穩定癒合。張家銘醫師進一步指出,這類骨折常見於年輕族群,特別是手臂較長、四肢纖細、身材瘦高者,主因是手臂越長產生的力矩越大,瞬間內旋的壓力極易摧毀骨質。
醫師呼籲,民眾進行腕力活動時應量力而為,若處於劣勢應讓身體順勢移動以減少壓力,而非硬撐到底,平時則應透過循序漸進的重量訓練提升骨骼與肌肉強度,避免瞬間過大負荷造成不可逆的傷害。